before_case_2
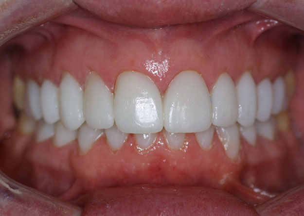
after_case_2